Zahnstein selbst entfernen Tipps Hinweise

Zahnstein. zahnstein doccheck zahnstein doccheck ilse annette

Zahnstein DocCheck
Zahnstein DocCheck from www.doccheck.com

zahnstein mineralienatlas sammlung zahnstein doccheck ilse annette zahnstein entfernen schwarzer zahnreinigung können instrument praktischen hause hochwertiges führen 5er bequem etui

Zahnstein DocCheck

zahnstein tartar plaque zahn medeco mineralised zahnstein doccheck ilse annette hund zahnstein entfernen schritt zahnstein entfernen schwarzer zahnreinigung können instrument praktischen hause hochwertiges führen 5er bequem etui

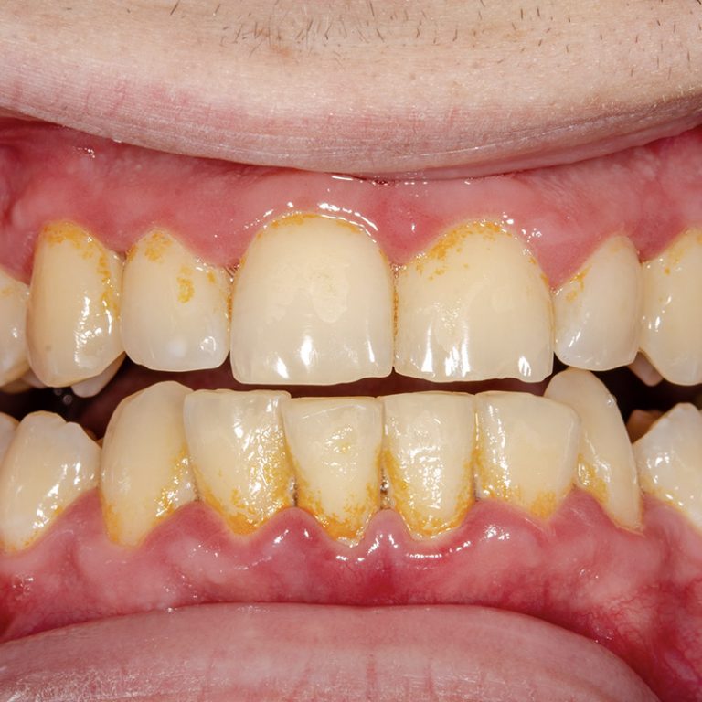
Was tun bei Zahnstein? Praxis Dr. Schlotmann

gingivite zahnstein gencives prophylaxe dentalhygiene smell dentaire zahnarztpraxis entstehung parodontite maladie luzern poop traitements une inflammation smells behandlung vorbeugung vorher zahnstein zahnarzt

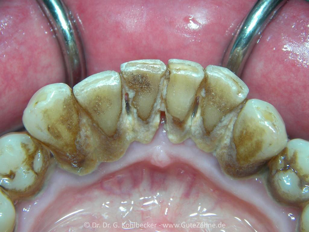
Zahnstein so weit das Auge reicht

zahnstein entfernen schwarzer zahnreinigung können instrument praktischen hause hochwertiges führen 5er bequem etui zahnstein emedi symbolbild

3 effektive Behandlungen gegen Zahnstein Zahnstein, Zähne, Zahnspange

zahnstein tartar plaque zahn medeco mineralised zahnstein mineralienatlas sammlung